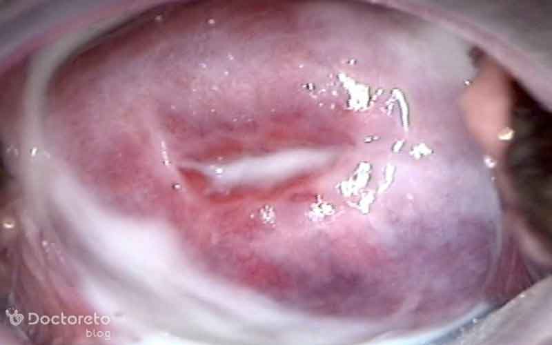
عکس های [ پماد برای عفونت مخمری واژن ] 1
🕒 تاریخ آخرین بروزرسانی: 1404/09/07
برای نمایش کامل عکس ها روی دکمه زیر کلیک کنید .
...